
The Tooth-Colored Fillings Procedure
Dr. Haddad can place your filling in just two easy visits.
- First, the area of decay is removed.
- An impression of your tooth is taken and sent to our ceramist.
- Our ceramist creates your filling from that impression, or mold, doing an entirely custom job.
- During a second visit your filling is fitted in, adjusted, and bonded in place.
The strength and integrity of your original tooth is now restored. and your porcelain filling can last many years with good dental hygiene habits.
If you are searching for a cosmetic dentist who places a high value on function and appearance, our advanced cosmetic dentistry team is ready to tell you more about the benefits of tooth-colored fillings.
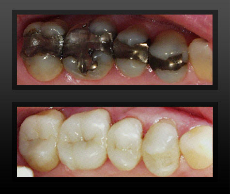
See how our cosmetic dentistry team has helped people with natural-looking fillings in our Before & After Gallery.
White fillings at Rochester Advanced Dentistry are affordable! Visit our Affordable Financing page to learn more.
Need fillings, but nervous about being in the dentist’s chair? Discover the benefits of sedation dentistry.
Discover the benefits of porcelain fillings from our experienced cosmetic dentistry team. Rochester Advanced Dentistry has helped countless people in Rochester, Rochester Hills, Troy, and Oakland, Macomb and Shelby Townships with personalized smile makeovers. See for yourself what makes us such a different kind of dental practice. Contact our team online or call us at (248) 656-2020 today for your personal smile evaluation.

