What Is A Full Mouth Reconstruction?
A full mouth reconstruction is a series of treatments that restore missing, damaged, and worn teeth back to their full glory. Additionally, we’ll repair your bite to reduce TMJ or gum disease pain. Your possibilities are endless when you consider reconstructing your mouth in Rochester, MI. Since treatment is specific to you, your plan depends on your goals. You might need:
- Coordination for dental implant restorations
- Dental bridges
- TMJ treatment
- Tooth-colored fillings
- Placement of dental crowns
- Inlays and onlays
- Porcelain veneers
Please note that we will facilitate services with external dental professionals for surgical procedures like dental implants.
Do You Need a Full Mouth Reconstruction?
A full mouth reconstruction is a versatile series of treatments that are custom-designed with your smile goals in mind. Dr. Haddad can restore your smile if you have one or multiple concerns.
- Poor bite (overbite or crossbite)
- Aggressive wear on the tooth
- TMJ or jaw pain
- Accidents or injuries to teeth or jaw
- Advanced tooth decay
- Missing teeth
Your reconstructive and cosmetic dentists will consult with you about your goals and the health of your teeth and mouth. After a full consultation, you’ll design your new smile and treatment plan together.
A Full Mouth Reconstruction Can Fix Jaw Pain
Jaw pain is one of the most common reasons for full mouth reconstruction, and often, its underlying condition is the reason for your worn, broken, or cracked teeth. Temporomandibular joint disorder, or TMJ, results when your jaw is misaligned. A few common symptoms of TMJ disorder are headaches, teeth grinding, facial pain, clicking or popping sounds when you open and close your mouth, and the alarming condition of a locked jaw.
The first-line treatment for TMJ involves wearing a neuromuscular orthotic to correct jaw position. Once the optimal jaw position is established, we reconstruct your mouth. This phase may involve building up your teeth with porcelain veneers, dental crowns, bridgework, and onlays. We will coordinate with external professionals for dental implants to complete your treatment.
After reconstructing your mouth to hold your jaw in the right position, you’ll be amazed by how you feel.
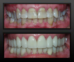
Before Full Mouth Reconstruction
- Jaw pain from TMJ
- Headaches
- Sensitive teeth from grinding
- An incomplete smile
- Teeth that are broken and chipped
- Crooked teeth
- Unhealthy mouth
- Difficult chewing
- Difficult speech
- Low self-confidence
- Difficulty in social situations
After Full Mouth Reconstruction
- A full smile with no gaps or broken teeth
- White teeth
- Straight teeth
- You can eat and drink whatever you’d like without sensitivity
- Easy chewing and speech
- Confidence in social situations
- Confidence at work and at home
- Good oral health
Do You Need Restoration In Rochester, MI?
Combining cosmetic, reconstructive, and neuromuscular dentistry, Dr. Haddad is known for handling advanced cases that require comprehensive solutions. He brings his complete LVI training and years of experience to the forefront to correct your dental issues and create your attractive, new smile. Both doctors place a heavy emphasis on creating fully functional, pain-free, and beautiful smiles. After all, part of the function of your smile is to dazzle others!
We strive to ensure that our dental office and treatments are comfortable and relaxing for our patients. We believe that dentistry should be stress-free and simple. That’s why we make a point to fully listen to your concerns and give you straightforward answers with which you can make informed decisions.
Let Dr. Haddad and his team of experts give you the smile you’ve always been dreaming of. Call (248) 656-2020 today or make an appointment online. You’ll be glad you chose Rochester Advanced Dentistry.


